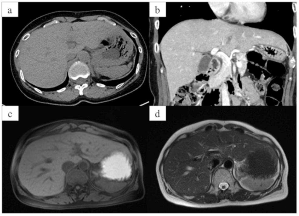
Home Liver TransplantationCureusHepatic Lipofuscin Deposition in Living Liver Donor CandidateLiving donor liver transplantation (LDLT) is an important therapeutic option, and ensuring donor safety is paramount..10 hours ago

CureusHepatic Lipofuscin Deposition in Living Liver Donor CandidateLiving donor liver transplantation (LDLT) is an important therapeutic option, and ensuring donor safety is paramount..10 hours ago

by News Source
0 comments
Article river e4daaa909e0b11f0b6ef6784e055ea17 figure.1

CureusHepatic Lipofuscin Deposition in Living Liver Donor CandidateLiving donor liver transplantation (LDLT) is an important therapeutic option, and ensuring donor safety is paramount..10 hours ago

news source

You may also like

Welcome to Daily Transplant News, your trusted source for the latest updates, stories, and information on transplantation and organ donations. We are passionate about sharing the inspiring journeys, groundbreaking research, and invaluable resources surrounding the world of transplantation.

Most Viewed Articles

Latest Articles

Copyright ©️ 2025 Daily Transplant News | All rights reserved.

Are you sure want to unlock this post?
Unlock left : 0
Are you sure want to cancel subscription?
Show/Hide Player
-
00:00
00:00
Update Required Flash plugin
-
00:00
00:00